Füllungsbehandlung
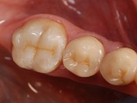
Unter Füllungstherapie verstehe ich nicht nur den Verschluss von Defekten in der Zahnhartsubstanz, sondern die sorgfältige Modellierung und die Wiederherstellung der anatomischen und funktionellen Strukturen zum vollständigen Funktionserhalt. Nur so kann das fein aufeinander abgestimmte Zusammenspiel von Zähnen, Kaumuskulatur und Wirbelsäule erhalten und / oder wiederhergestellt werden.
Dazu verwende ich unterschiedliche Komposite-Materialien. Um ein Maximum an Zahnhartsubstanz erhalten zu können verwende ich dafür Lupenbrille und bei Bedarf ein Operations-Mikroskop. Diese Füllungen sind ausgesprochen langlebig und belastbar. Dadurch kann ich substanzraubende Kronen-Präparationen häufig vermeiden. So trage ich zum Erhalt Ihrer Zahnhartsubstanz bei.

